一、初诊检查
提前电话预约医生以及就诊时间,见到医生后简明扼要的说出自己的要求,最主要想解决的问题,医生会根据口腔内的检查以及通过X光片情况来大概说一个口腔内存在的问题
二、正畸常规检查
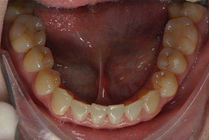
口腔检查(包括牙周,龋齿,智齿,多生牙,少牙,缺失牙)
2.X光片检查(头颅正位片,头颅侧位片,全景片,CT,上下颌2—2小牙片)
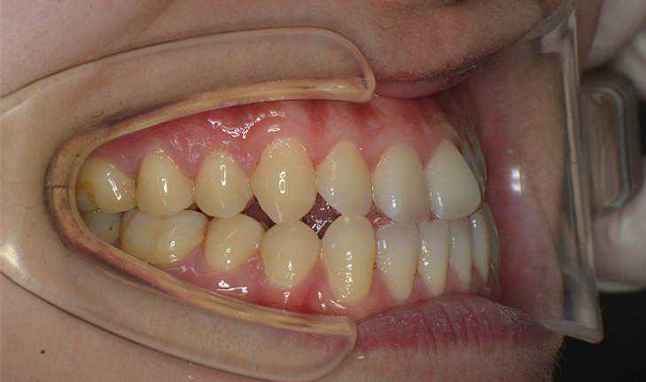
3.口腔内数码照片,面相(如果口腔内牙结石较多,一定要先洗牙,毕竟拍证件照之前也要简单化妆,梳头整理一下,所以为了把牙齿的照片拍漂亮,牙齿要干干净净没有牙结石)





4.取牙模存档(把口腔内牙齿的情况转移到口腔外)
5.预约下次听方案的时间
三、听计划,定治疗方案
1.医生根据牙模,X光片的测量,给出一个或若干个方案,把每个方案可能会存在的问题,以及矫治后的效果告知您,最后与医生商定后选择一个方案,确定方案后签字。
2.选择矫治器
矫治器主要两种:隐形矫治,固定矫治
隐形矫治特点:美观,舒适,清洁牙齿更方便,缺点是不适合较难病例
固定矫治:金属矫治器:大家最常见的
陶瓷矫治器:透明的,比较美观,远看仅仅可以看到一根丝
金属自锁矫治器:牙齿排齐速度较快,戴着舒适,体积较小,口腔内异物感小
陶瓷自锁矫治器:美观,舒适,排齐速度快
3.预约下次就诊时间
若拔牙,一般情况拔4颗牙,一次拔一侧(两颗),一周后拔另一侧(两颗),再一周后戴矫治器
四、戴矫治器以及复诊
1.医生根据患者牙齿情况分一次或两次将矫治器粘结在患者牙齿上(一般一到两个小时)
2.粘结后,嘱咐注意事项,口腔卫生宣教
3.预约下次复诊时间
4.戴矫治器的过程要求定期复诊(4—6周),每次复诊时间大概15—30分钟
五、拆除矫治器
1.治疗结束后牙齿达到预期效果,咬合关系良好即可拆除,大概需要一个小时。
2.咬牙模
3.拍X片
4.拍面相,口内数码相
5.预约戴保持器的时间
六、保持器复查
每3—6个月复查一次,按医生要求佩戴保持器,否则牙齿不齐容易复发,若发现保持器丢失或牙列有所变化立即复诊





