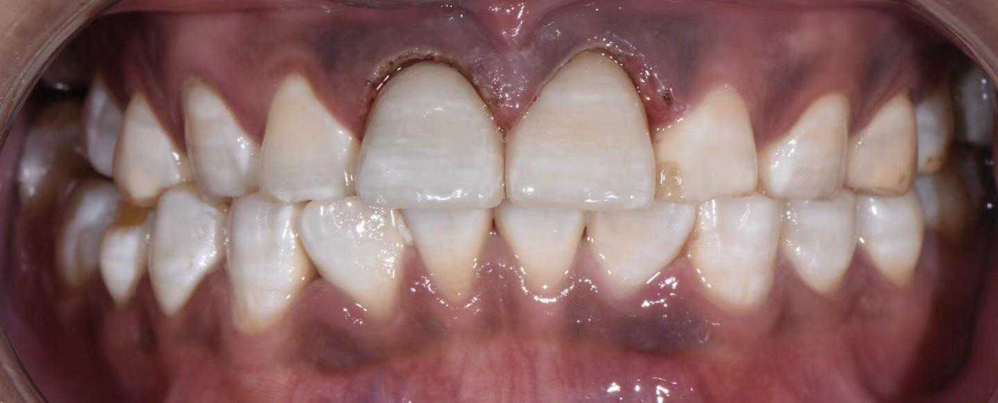
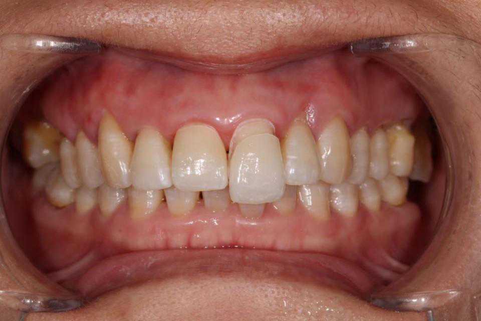
全瓷贴面修复是指在不磨牙或是尽量少磨牙的情况下,通过粘接材料,将一层的薄薄的瓷料修复体固定在患者的牙齿部位,从而达到恢复牙齿缺损或是牙齿变色的一种方法,常常用于前牙美容领域。全瓷贴面修复有多种颜色供您选择,在全瓷贴面修复后,可以达到与真牙相媲美的牙齿美容效果。

技术概括
全瓷贴面修复就是采用粘结技术,在保存活髓、少磨牙的情况下,对牙体表面缺损、着色牙等用瓷修复材料粘结覆盖其表面,以恢复牙体的正常形态和改善其色泽的牙齿美容方法,是一种新型的牙齿美容方法。
修复优点
1.全瓷贴面治疗时间短,费用优于烤瓷冠。
2.全瓷贴面颜色逼真、形态自然,与天然牙颜色非常相近。
3.全瓷贴面与传统树脂贴面相比,寿命长、强度大。
4.全瓷贴面牙齿的磨除量可降到最低,仅需磨出0.5到0.7MM
5.全瓷贴面操作过程精细。无痛。

适应症
1、釉质发育不良、轻度龋损等其他因素导致的唇面、切端和牙尖釉质缺损。
2、变色牙,如四环素牙及氟斑牙的美容性修复。
3、改善前牙外观形态,如畸形牙、过小牙等。
4、轻度错位牙,如扭转牙等,患者不愿意接受正畸治疗
5、牙间隙:关闭间隙和其他多个不美观的间隙。
6、过短牙或磨耗牙加长切端且釉质量足够者。
大家有什么问题可以留言咨询我,我会及时回复。






