“医生,我已经没有妈妈了,只想让我爸的晚年过得舒坦一些!”赵先生紧紧握着医生的手,拜托道。
医院是个神奇的地方,在这里,你能见到最凉薄的心,也能见证最热忱的情。
今天想和大家分享的,是近段时间老黑印象最深刻的一个病例。
01患者84岁,半年前因为蛀牙,拔掉了所有牙齿残根,目前全口无牙,被儿子赵先生带到医院来,想做一套全口义齿。
“高血压已经十多年了,目前患有老年痴呆。”赵先生介绍道。
由于患者全口无牙,而且患有老年痴呆,在做口腔扫描时配合度非常低,没有办法使用数字化扫描,只能使用传统硅藻泥制取初印模。

初印模制取
但这个过程也不太顺利,因为制取印模需要患者含着模具一段时间,但患者一直拒绝配合,赵先生只能像哄孩子一样,好话歹话说尽,连骗带哄才让患者配合印好了模具。
取下印模后,赵先生紧紧握着医生的手,拜托医生用最好的技术,帮他父亲做最好的牙齿,钱多钱少无所谓,一定要让老人少点折腾。
0260多岁的儿子带84岁的老爸来医院做牙齿,我总感觉背后有什么故事,就和赵先生聊了起来。
聊完后才知道,原来赵先生幼年丧母,父亲终身未再娶,一个人又当爹又当妈把他拉扯大,在那个穷困潦倒的年代,硬是供赵先生读完了高中,这在他们当地,算得上是最高文凭。
也正因如此,赵先生获得了一份不错的工作,攒下了一些积蓄。改革开放后,赵先生和朋友一起南下闯荡,竟也在深圳打拼出了一席之地。

这么多年,在赵先生心里,他最感谢的人就是父亲,要不是父亲当年的倔强和坚持,他现在就应该是和那些同乡的同龄人一样,一辈子走不出所谓的故乡。
在深圳扎稳脚跟后,赵先生就把父亲接了过来,这边的气候比较适合养老。随着年事渐高,赵爸爸开始出现一些全身性疾病,大概十年前确诊高血压,虽然一直有注意饮食,但常年还得靠药物维持血压。
而受高血压的影响,赵爸爸的口腔疾病也越来越严重,牙齿越来越少,最终在3个月前被全部拔除。
再加上3年前确诊了阿尔茨海默病,也就是我们俗称的老年痴呆,这么看下来,赵爸爸的晚年生活,确实算不上舒适。

这简直把赵先生心疼坏了,因为无法忍受父亲只能喝粥度日,赵先生决定带他来做一副全口义齿,至少可以在力所能及的地方,让父亲的晚年,稍微舒服一些。
和赵先生沟通完之后,主治医师给出了数字化全口义齿方案,因为传统的全口义齿修复流程耗时长,就诊次数多,后期需要调改的次数多,而且十分依赖于医技的个人技术水平和临床经验,不符合赵先生目前的诉求。
03于是,医生在对初印模进行扫描后,在电脑上生成了三维模型,并根据模型设计托盘,然后通过3D打印技术现场打印出来。

3D打印定制托盘
3D打印出来的托盘,可以实现患者口腔结构的完美还原,在做终印模时,可以保证最终成品的精确度和舒适度。

终印模制取
终印模做完后,再次在电脑上根据印模设计全口义齿,并通过3D打印技术打印试戴义齿,试戴义齿效果好的话,可以直接打印最终成品,如果有问题,也可以及时修改,整个流程相较于传统义齿快捷方便的无数遍。
数字化全口义齿设计
只是一顿午餐的功夫,医生给赵爸爸准备的试戴义齿就打印了出来,经试戴测试,契合效果很好,可以直接制作终义齿。
3D打印试戴义齿
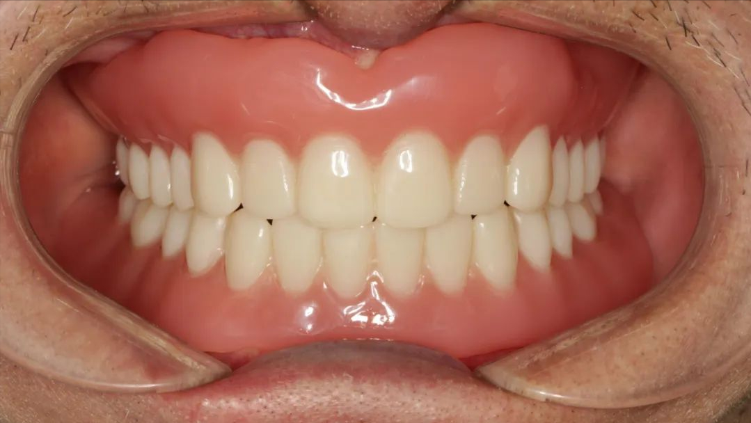
仅几个小时后,终义齿就成功戴进了患者口腔,不仅美观真实,在进行饼干咀嚼验证后,使用效果和稳定固位,都得到了患者和医生的一致认可。
3D打印终义齿
优化全口义齿修复流程,是现代化口腔诊疗技术的一个迫切的需求。数字化技术的加入,极大地缩短了诊疗周期,改善患者的就诊体验。闭口式印模、数字化排牙技术和3D打印技术,为精确制作功能舒适的全口义齿提供了技术基础。
04我们分享这种技术,是希望让更多人认识和了解到,原来,现在已经有这样一种技术,可以优化口腔诊疗全流程,让患者有更舒适的体验。由衷希望,这种技术能够更加成熟、更加普遍地应用在我们的生活中,让更多有需要的人群,及时享受到技术的福利。





