案例1牙齿前突案例
这是一个新疆的小姑娘,检查诊断为牙齿前突,因为牙齿上颌很过于唇倾,导致下颌的前牙代偿性地伸长。
所以她微笑时上颌的前牙暴露量不够,下牙又暴露过多,露齿度不饱满,呈现出很不美观的笑容。
而舌侧矫正有一个非常大的优势,就是对于下牙的压低和上牙精准的转距控制,我在治疗过程中拔了她上颌的两颗前磨牙,将下颌前牙压低,内收上颌的前牙,再配合少量的扩弓,从而达到理想矫正的效果。
矫正后,姑娘的唇齿关系协调,笑弧笑线自然好看,下颌线条清晰流畅,脸型从方脸变成"V"型小脸,气质更加出众!

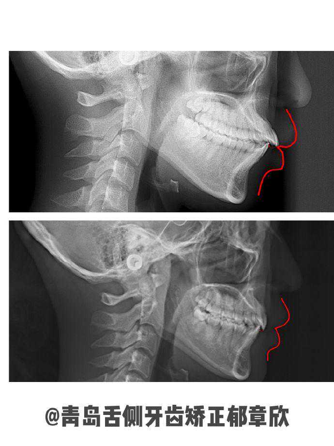
案例2骨性前突案例
患者是骨性前突,面诊了几家外院给的建议是手术治疗。我通过CBCT和头影测量分析,观察到她的牙齿还有矫正空间,与她沟通了矫正后能达到的内收效果及面型的改善程度,她表示接受。
结合患者高效隐形的诉求,我为她选择了舌侧矫治器。方案设计拔除4颗正畸牙,使用MIA微种植钉支抗以辅助关闭拔牙间隙以及控制上前牙垂直方向移动,达到理想内收移动效果。一年半时间结束矫正,牙齿整齐内收,突面型改善,下巴挺现,侧貌轮廓更精致协调。


案例3牙性前突案例
上颌前突畸形(前牙深覆盖):主要表现为上前牙唇倾和上颌前突,常伴有下唇前移位,呈撅嘴状,给人一种不愉快感,显得下颌后退。比如这个案例,患者是牙性前突,牙齿的唇倾影响了她的唇部软组织形态,且下巴显得圆钝。通过舌侧拔牙矫正,内收前牙的同时改善上下中切牙倾斜度。矫正后从照片可以看出上颌前突明显改善,软组织唇、颏也达到和谐的曲线美。


案例4骨性前突下颌后缩案例
这位患者矫正前是非常明显的骨性前突伴有下颌后缩,高位笑线(微笑时露出的牙龈超过3mm),牙弓也非常狭窄。
姑娘当时也面诊了青岛的许多正畸医生,最后选择在我们这边做舌侧矫正。首先她也非常清楚像她这种骨性前突伴有下颌后缩的情况很难通过其他隐形矫正治疗来获得很好的面型改善效果。
而舌侧牙套的垂直向控制优势则非常明显,前牙区设计成带状弓,对于牙齿的整个控制力会很强,在排齐过程中已经能实现前牙一定的压低,可以改善她露龈笑的情况;再配合支抗钉压低磨牙,使颌平面发生逆时针旋转,可以改善她的颏部形态。
从矫正前到现在矫正20个月的时间,整体的侧貌变化是非常明显的,现在是充满了少女感。


案例5牙齿前突+口呼吸案例
小杨矫正前有明显的口呼吸,牙齿前突影响侧貌的同时还有明显的脖子前倾。临床检查为:凸面型,上下中线不齐;口内情况:上牙列拥挤不齐,上颌前牙唇倾,个别牙对刃及反颌,后牙咬合是近中III类关系。治疗中除了排齐牙列内收前牙,我还注重他的唇肌训练纠正口呼吸习惯,保证矫正效果后的稳定。治疗结束后不仅收获了良好的咬合关系,还有精致立体的侧貌,体态的改善也让身材更加挺拔了,是帅小伙无疑啦~




案例6上颌前突+下颌后缩案例
这位患者矫正前,主诉嘴巴突。经详细检查发现,患者为凸面型,上前牙唇倾,下颌稍显后缩,颏部形态不佳,上下唇部软组织位于E线前。因此,我为她制定的治疗目标是解除拥挤,内收上前牙;通过垂直向控制,使下颌发生逆时针旋转。现治疗结束,从图中可以发现,她的鼻唇角和颏唇角都明显增大,达到了牙列整齐和容貌美观的矫治目标。


关于牙齿矫正更多问题咨询,欢迎大家直接私信我了解更多正畸方面的知识。





