成年人的牙齿和孩子的牙齿是不同的,前者是恒牙,更大,更坚固,寿命也更长,后者叫做乳牙,在六岁左右会逐渐脱落,到12岁左右,20颗乳牙完成更新换代,为恒牙挪地方,完成使命光荣退岗。

但总有乳牙愿意当“钉子户”,乳牙来了也不走,就这么干耗着,得,恒牙只好在旁边安营扎寨,形成乳牙和恒牙同时存在的现象,这就叫做“双排牙”,如果乳牙迟迟不走,就必须去医院一颗颗拔掉,不仅给孩子增加痛苦,也会让长出来的恒牙歪歪扭扭,一张嘴就一口“丑牙”,只能成年后去戴牙套来纠正。
为什么越来越多的孩子形成双排牙?
记得在很小的时候,几乎看不到双排牙的存在,同龄的小伙伴到了六七岁左右,牙齿就一颗颗往下掉,长出的恒牙一般都比较整齐,父母还曾告诫过我们,下面掉的牙齿往房顶扔,上面掉的牙齿往地上扔,可如今双排牙的孩子却越来越多,这跟生活习惯有很大的关系。

没养成“啃东西”的习惯
倒退回二三十年,像我们这一代人,啃地瓜,啃甘蔗,啃苹果,啃大枣,那时候没有多少零食,但我们的牙齿却特别锋利,记得妈妈还特意告诉过我,孩子吃硬东西牙齿会很结实,但如今孩子吃个苹果,父母就赶紧用小勺挖出苹果泥,害怕孩子小牙啃不动,还特意打成果汁让孩子喝。吃饭的时候就更精细了,给孩子制作各种软烂的辅食,唯恐影响了吸收。
现在的孩子长得白胖可爱,但在进食的过程中,咀嚼是非常重要的,可以刺激和加速乳牙牙根的吸收,也会刺激乳牙的脱落,所以孩子到了能吃硬东西的年纪,父母就不要让孩子太娇气,锻炼的越少,乳牙滞留的可能性就越大。
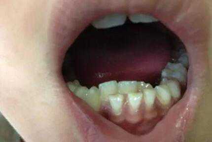
双排牙能丑到啥程度?
一般孩子的双排牙,不至于很难看,顶多就是恒牙从旁边萌出,但过一段时间,随着恒牙的长大,乳牙也就慢慢脱落了,但下面孩子的双排牙,却非常嚣张。

这还是牙齿吗?这成了双排“栅栏”,恒牙都长这么大了,乳牙还是嚣张地不想脱落,孩子一张嘴,两排洁白的牙齿暴露在空气中,要多难看有多难看,除了拔牙,乳牙别想“请走”了。

这个孩子的牙齿就更加“有碍观瞻”了,如果去矫正,估计医生都会皱眉头,这样的双排牙,对颜值是毁灭性的打击。
双排牙到底该不该拔?
孩子到了换牙的年龄,乳牙迟迟没有脱落,恒牙却萌出了,形成了双排牙的现象,是否该拔牙则要去医院询问医生,如果双排牙存在了三到六个月,原则上是应该去口腔科进行拔牙的,将滞留的乳牙拔去,有利于恒牙的生长。

双排牙是完全可以预防的,父母要做到以下几点:
第一,定期带孩子去进行牙齿检查,如果发现乳牙存在异常,应该尽快治疗。
第二,改变饮食习惯,让孩子进食粗粮,自己吃水果,啃玉米,啃甘蔗,有利于促进宝宝咀嚼肌和牙床的发育,还能够清洁口腔预防龋齿,所以不建议给孩子榨果汁,或是把食物烹饪的特别软烂,孩子牙齿就是用来咀嚼的,不常常进行锻炼,反而不利于牙齿的发育。
第三,勤刷牙,少吃甜食,孩子在两岁后就要养成漱口或刷牙的好习惯,另外,膨化食品甜食也要少吃吃完,甜食还要及时漱口。
另外,还要避免孩子吃手指,吃铅笔,舔牙的坏习惯。





