
牙齿有缝,两个原因,一是牙龈萎缩,牙槽不够坚固,把牙齿吐出来了,证明身体下焦堵得厉害,不能涵养气血了。
第二个就是,牙齿先天发育不良,不能长满。
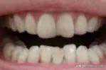
牙槽一定要坚固,牙龈饱满,牙龈就是气血所化,牙槽就是肾气。牙齿漏缝跑风,大忌。

牙齿紧的把有些牙都挤出来了,导致这两颗牙齿长歪了,代表瘀滞,小腹紧,不通。

门牙往里凹,代表上焦堵了,气没有展开,如果展开了就把两个门牙顶出来了。

这一颗牙过小,说明同侧的经脉没有发育良好,尤其是阳明经脉。

两颗门牙,稍微弯向了一侧,代表经脉出现了倾斜,同时下面的一颗虎牙长出来了,说明那一侧的右下腹出现了不顺。

两个牙短小,说明胆经没有开,少阳不开,上焦不行。

这个地方出现了挤压,说明同侧的肝胆出现了瘀滞,胆胃郁结。

下门牙长得不够结实,同时又出现了歪,说明下焦小腹有问题。

牙齿长得不够强壮,同时牙龈萎缩,说明小腹正中瘀滞严重,肠胃不好。
牙齿开始外露,牙龈不行,小腹瘀滞严重。
整个前面阳明脉都不好,都出了问题。
两侧的下牙往里抠,说明少阳经淤滞向里。同时下门牙有一个被挤出来了,说明同侧挤压严重,不过牙齿根本不错。牙槽坚固,身体基础不错。





