一、附件粘贴材料和器械
①附件定位模板(隐速第AT副矫治器)

隐速矫治器包装-正面

隐速矫治器包装-反面
②酸蚀剂、粘结剂、光固化复合树脂
③光固化灯
④开口器
⑤充填器
⑥棉球
⑦高速手机及车针
⑧低速手机及抛光杯、抛光膏
二、附件粘贴步骤详解
①检查确定模板
确定附件定位模板的附件的个数、位置、形状、大小等,并试戴上下颌附件定位模板,检查模板是否贴合。

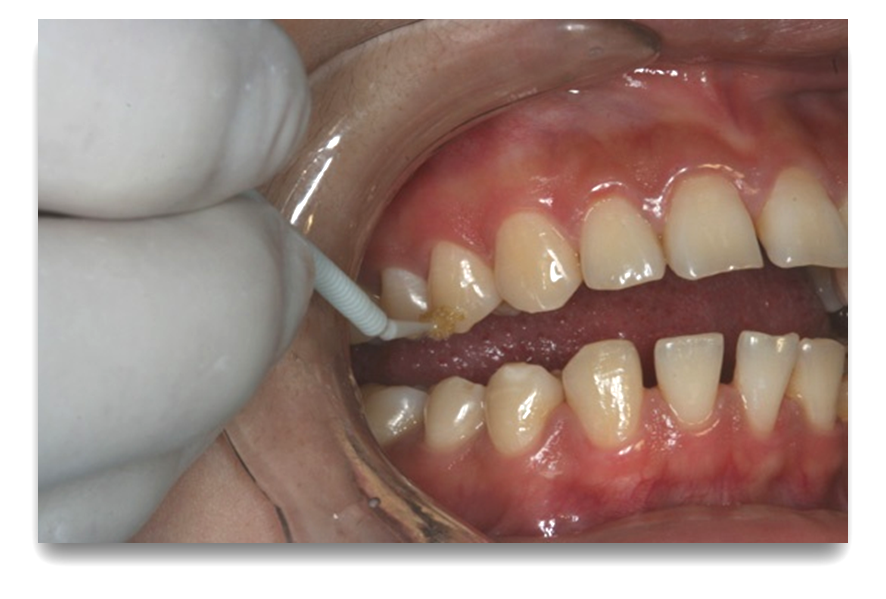
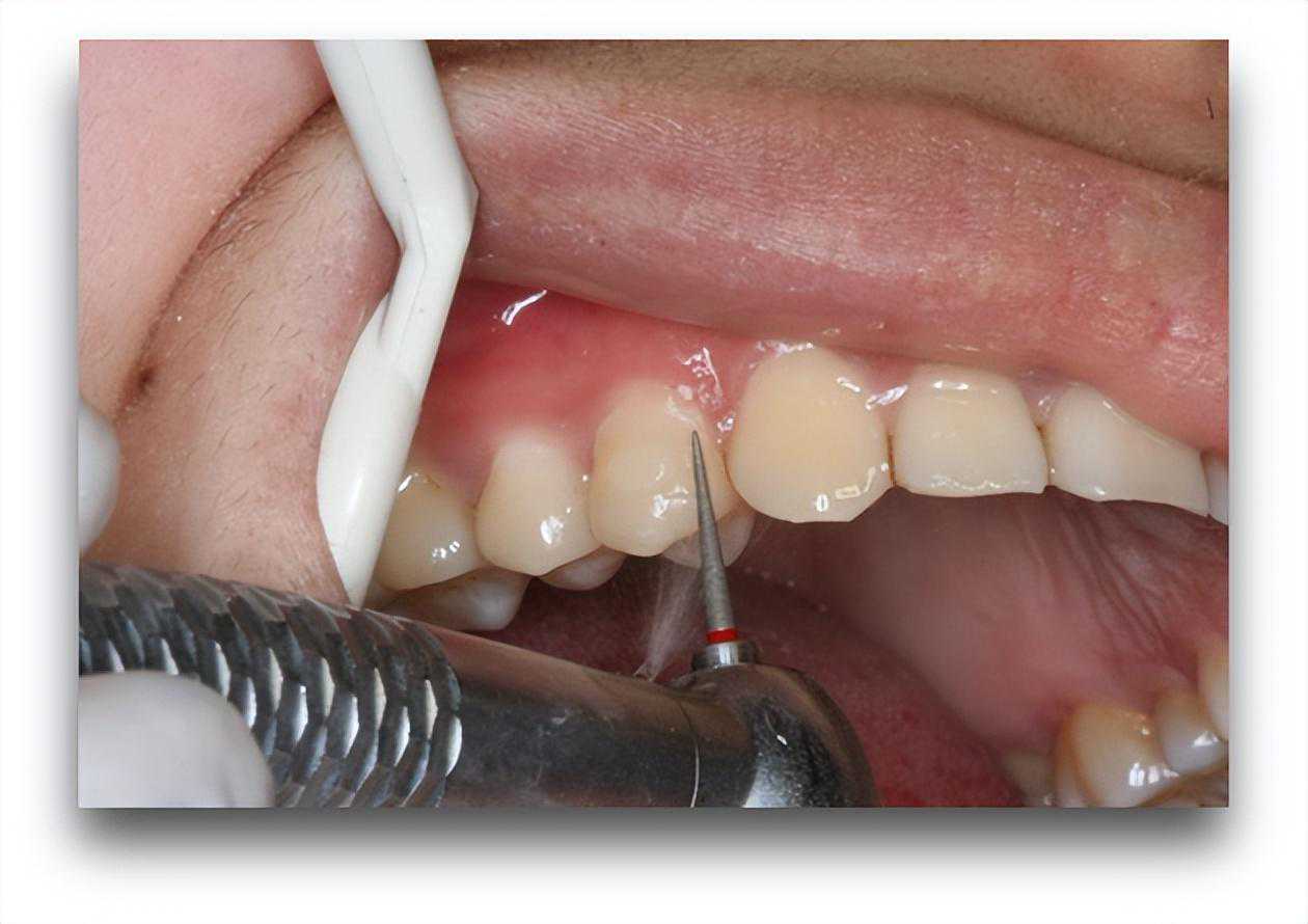
②抛光清洁
抛光清洁牙面,酒精棉球擦拭牙面后吹干牙面。
③酸蚀
选用黏稠的酸蚀剂(37%磷酸酸蚀剂)酸蚀附件粘结区域,酸蚀牙面20-30s。

④去除酸蚀剂
用干棉球轻轻拭去酸蚀剂,酸蚀剂充分冲洗干净、隔湿、避免唾液污染。
⑤吹干牙面
牙面不要吹得太干,被酸蚀牙面呈白垩色,说明酸蚀已到位。
⑥涂布粘结剂
均匀涂布粘结剂于被酸蚀牙面,粘接剂涂抹15秒,让粘接剂充分渗透入釉柱。

⑦吹薄固化
气枪轻吹牙面,将粘结剂吹成均匀的薄层;光照牙面5~10秒,使粘结剂固化。

⑧树脂填充
将适量树脂填入附件粘结模板的附件型腔、压紧,也可以在填压树脂之前薄涂一层凡士林,作用是润滑、帮助附件从模板上脱位。

⑨附件成形
填充好的附件模板戴入牙弓,使模板充分就位,树脂充填器按压附件边缘,使附件清晰成形。

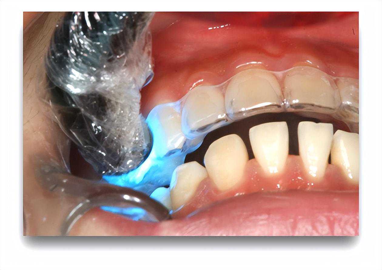
⑩附件固化
从切端或侧面光照附件20-30s,使附件完全固化。

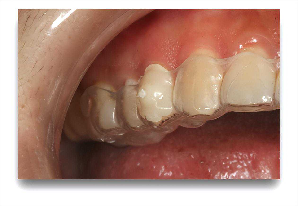
⑪模板分离
用探针轻轻掀起附件龈方的模板边缘,使模板与附件分离,取下模板,牙面上即粘结成功的完整附件。

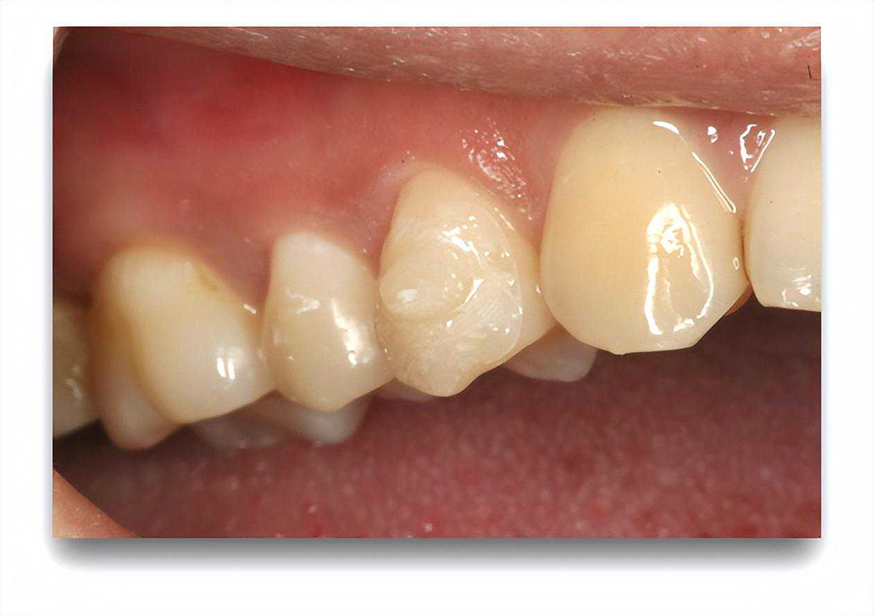
⑫修整抛光
磨除附件周围溢出的多余树脂材料,修整附件边缘并抛光牙面。这一步很重要,附件的精准是牙套施力的基石。

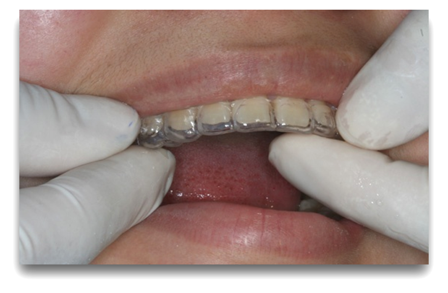
⑬分区完成附件粘结,测试矫治器
测试第一副矫治器与附件的贴合度。

三、注意事项
1)抛光牙面,与粘结托槽前需要清洁牙面一样;
2)酸蚀剂选用粘稠的、流动性缓慢的,否则30秒后酸蚀剂会流至邻牙或牙龈;
3)选用需要酸蚀的第五代粘接剂(如SingleBond),不要选择自酸蚀粘接剂;
4)酸蚀剂充分冲洗干净后,用棉球隔湿,防止唾液污染已酸蚀的牙面;
5)选择适量流动性适中的树脂填入模板、压紧,戴入牙弓使模板充分就位,不要选择流体树脂;
6)气枪吹薄,光照5~10秒。粘接剂太厚或未固化容易将粘接剂挤入树脂与模板之间,使模板不易与附件分离;
7)确保复合树脂材料在模板凹点内均匀分布,与凹点齐平或稍微高于凹点;
8)用细砂车针修整多余树脂、抛光;
9)一副模板上的附件较多,一次全部制作完毕可能会带来隔湿困难、附件不紧贴易脱落、模板取下困难等问题。可将模板切成几段,分步操作。一般来说,每段模板应至少包括与附件牙相邻的两颗牙齿,以精确定位附件的位置。
10)治疗中附件脱落:磨除残留的附件,重新处理牙面;建议使用初始模板,也可使用前一个或正在戴用的矫治器作为模板。

-END-





