
时下流行箍牙让牙齿外观上可更美丽,究竟有什么方法可以让牙齿矫正呢?
隐适美矫齿疗程具备独特的优点,在此我们提供隐适美与其他矫齿疗程的对比

第1步:初次咨询
于初次咨询时,隐适美特许牙齿矫正科专科医生或牙医会为您仔细检查牙齿及口腔状况,并了解您的意愿,以确认您是否适合选用隐适美矫齿疗程。经医生确定后,医生会为您拍摄相片、X光片、数字扫描或套取牙模,以设计您的疗程计划。
第2步:立体模拟分析
隐适美生产中心会利用独家专利研发的计算机程序及医生的诊断,为您编写立体模拟矫齿方案,让您看见矫齿结束后牙齿的预期最终位置及疗程时间,并为您度身订造一系列隐适美「隐形牙箍」。
第3步:订制牙箍我们会生产订制的牙箍,然后送往您的医生诊所。
第4步:自行更换牙箍您会拿到一系列度身订造的牙箍(通常一次会拿到3至4副),需要每天佩戴,每两周需要自行更换至下一副。
第5步:6至8星期覆诊一次大约每6至8星期需要覆诊一次,让您的医生检视您的矫齿进度,然后取得下一系列的牙箍
第6步:完成隐适美矫齿疗程完成隐适美矫齿疗程后,您可能需要使用固定器,才能将牙齿固定于新位置。
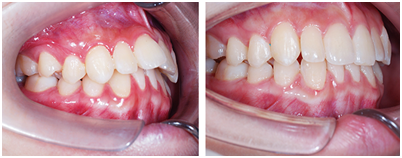
隐形牙箍的效果隐形牙箍疗程前隐形牙箍疗程后







