*本文所涉及专业部分,仅供医学专业人士阅读参考

快看看你家孩子是不是中招了?
人人都希望自己有口好牙,不仅是因为吃起东西来畅通无阻,更是因为美观。我们常说女生要有大家闺秀风范,要笑不露齿,但是,有一部分人闭嘴的时候都做不到不露齿,这就是我们俗话说的“龅牙”,医学有个很优雅的术语叫——开唇露齿。

图1,因龅牙走红的巴西女孩,现已矫正
随着生活水平的提高,宝宝都是家里的掌中宝,看到有开唇露齿恨不得马上给孩子做个矫正,生怕影响孩子的终身,今天我们就来了解一下关于开唇露齿的那些事。
什么叫开唇露齿?
一般认为,在唇部肌肉松弛的状态下,上下唇分开超过2~4mm,不能自然接触,或唇异常的前突、外翻,致前牙过多外露,牙龈外露,只有通过口周肌肉的有效收缩才能达到唇的闭合。这种唇不能自然闭合、前牙外露的现象叫做开唇露齿。其颌骨特点主要为上颌相对于下颌位置靠前。

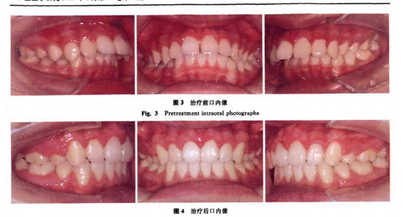
图源:陈馨,赵春洋,张卫兵,等.配合上颌前牙微种植体支抗矫治开唇露齿的临床研究[J].口腔医学研究,2011,27(3):241-245.
开唇露齿仅仅影响美观吗,
还有什么影响?
锥体束CT证实,下颌后缩患儿上气道容积及最小横径减小,上气道形态明显狭窄更易导致睡眠呼吸暂停低通气综合征。
为什么会出现这种情况?
开唇露齿与遗传因素息息相关,此外还与以下因素相关:
颌骨发育情况:开唇露齿、露龈笑与患儿上颌过突或垂直向过度发育有关;
唇长度即厚度:有专家认为开唇露齿与上唇长度较短有关,还有专家认为与游离唇的厚度有关;
唇部张力:有学者认为,唇肌力量不足时可能会出现开唇露齿;
前牙临床冠高度:各种原因导致的前牙伸长,肌肉放松状态下切牙暴露长度增加,形成开唇露齿;
年龄、性别:随着年龄增加,皮肤弹性减小,口周软组织将下垂,上唇长度增加、覆盖牙冠长度增加,前牙显露程度减小;女性更易出现开唇露齿。
除了上述因素,也与以下不良习惯有关:
1.长期使用安抚奶嘴:3岁以下幼儿的骨骼发育尚未定型,而吸吮奶嘴时,奶嘴在舌头上前后摇动,这股力量会把上腭骨往外拉扯,很容易形成龅牙;
2.爱咬嘴唇:如果经常咬上嘴唇,可造成前牙反合,下颌向前突出,常咬下嘴唇,则会导致上前牙突出,下颌后缩,上嘴唇变得厚而短,呈张开状态,牙齿外露,影响美观。
3.爱舔牙齿:被舔的牙齿受到向外的推力,时间久了容易使牙冠向前方倾斜而造成上下嘴唇不易闭合的“开唇露齿”状畸形。
腺样体肥大也加重开唇露齿的情况。
出现这种情况什么时候治疗最合适?
怎么治疗?
根据前牙深覆盖的多少可将其分为三度。
I度深覆盖(轻):上前牙切缘至下前牙唇面的水平距离在3~5mm。
Ⅱ度深覆盖(中):上前牙切缘至下前牙唇面的水平距离在5~8mm。
Ⅲ度深覆盖(重):上前牙切缘至下前牙唇面的水平距离大于8mm。
前牙深覆盖由于病因、机制不同,临床表现也有所不同:
单纯性前牙深覆盖,上颌无前突,磨牙关系为中性。
上颌前突不明显,下颌后缩,前牙深覆盖。
上前牙唇向倾斜、突出,后牙为轻度远中性关系,前牙深覆盖。
上颌明显前突,后牙为完全远中颌关系,前牙深覆盖过大。
前牙深覆盖常伴有前牙深覆颌。
畸形较轻的患者表现为上牙弓前突,口唇闭拢困难。
畸形较重的患者表现上唇翻卷、短缩并出现开唇露齿。
根据不同严重程度选择不同治疗方式:
首先去除不良习惯:不用安抚奶嘴,告诉宝宝不要总舔牙齿;
肌功能训练:对于开唇露齿的患儿,提倡尽早进行唇肌肌功能训练,嘱每天闭唇10~12h、含纽扣牵拉训练或吹奏笛子、喇叭等乐器,锻炼唇部肌肉;
单纯正畸治疗:对于轻中度的开唇露齿,可以考虑使用单纯的正畸治疗。恒牙初期可以开始治疗大多数的错合畸形,这个时期牙齿刚刚换完,对大多数儿童来说是10~14岁左右,男孩一般比女孩子要晚一些。包括通过头帽J钩高位牵引、口外弓、多用途弓等压低内收前牙。效果有限需完全依赖于患儿配合;
微种植体支抗辅助正畸治疗:不依赖于患儿的绝对支抗,在开唇露齿的治疗中取得了良好的效果;
外科-正畸联合治疗:颌骨严重畸形所引起的开唇露齿,尤其对于成人患者而言,单纯正畸矫治无法获得满意效果,可以考虑外科-正畸手术联合治疗。术前正畸去除牙齿代偿,整平Spee曲线,调整下牙弓协调及颌关系。
参考文献:
[1]陈馨,王林,沈小波,等.微种植体支抗治疗开唇露齿的相关牙根吸收的研究[J].南通大学学报(医学版),2013(6):484-486,487.
[2]陈馨,张卫兵,王林,等.开唇露齿畸形的形态特征和临床治疗[J].中华口腔正畸学杂志,2010,17(1):51-54.DOI:10.3760/
[3]ZhongZ,TangZ,GaoX,etal.AcomparisonstudyofupperairwayamongdifferentskeletalcraniofacialpatternsinnonsnoringChinesechildren[J].AngleOrthod,2010,80(2):267-274.
[4]李小兵,肖立伟,陈嵩,等.上颌骨前部节段骨切开后退术矫治上颌前突微笑露龈畸形的术前正畸.中华口腔医学杂志,2002,37:442—445.
[5]高冬玲,现代口腔正畸治疗学,河北科学技术出版社,2013.07.
本文首发:医学界儿科频道
责任编辑:CiCi
版权申明
本文原创欢迎转发朋友圈
--
投稿/转载/商务合作,请联系:yxj_ek@





