有部分患者,出现了牙痛难以忍受的情况后,到医院进行检查,医生告知其需要做根管治疗。
出于对根管治疗的不了解,患者可能会心生疑惑,到底什么是根管治疗,对我的牙齿会产生什么样的影响呢。
今天我们来详细讲解一下根管治疗
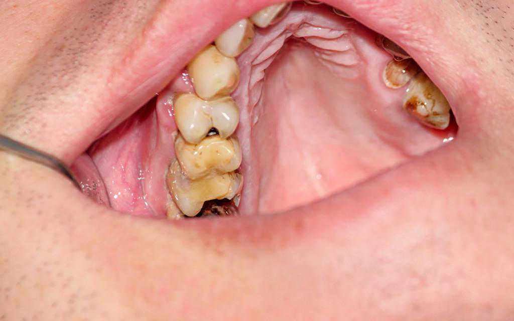
根管治疗过程
首先我们要明白的是,口腔内部环境是一个比较复杂的环境,有多种菌群同时存在着,我们平常进食后残留在口腔内部的食物残渣如果没有及时清理掉,就会滋养口腔内部的细菌,而细菌逐渐聚集起来,就会在牙体上形成牙菌斑,长期的食物残渣堆积就会形成牙结石。
细菌在分解食物残渣的时候,会产生一些酸性物质,而这些物质是会腐蚀牙体的,所以就会慢慢出现蛀牙。龋齿最开始的阶段只有较小的龋洞,且疼痛感并不是很明显,所以患者一般是不会重视的。
而龋洞如果逐渐发展扩大,就会向牙齿内部进军。


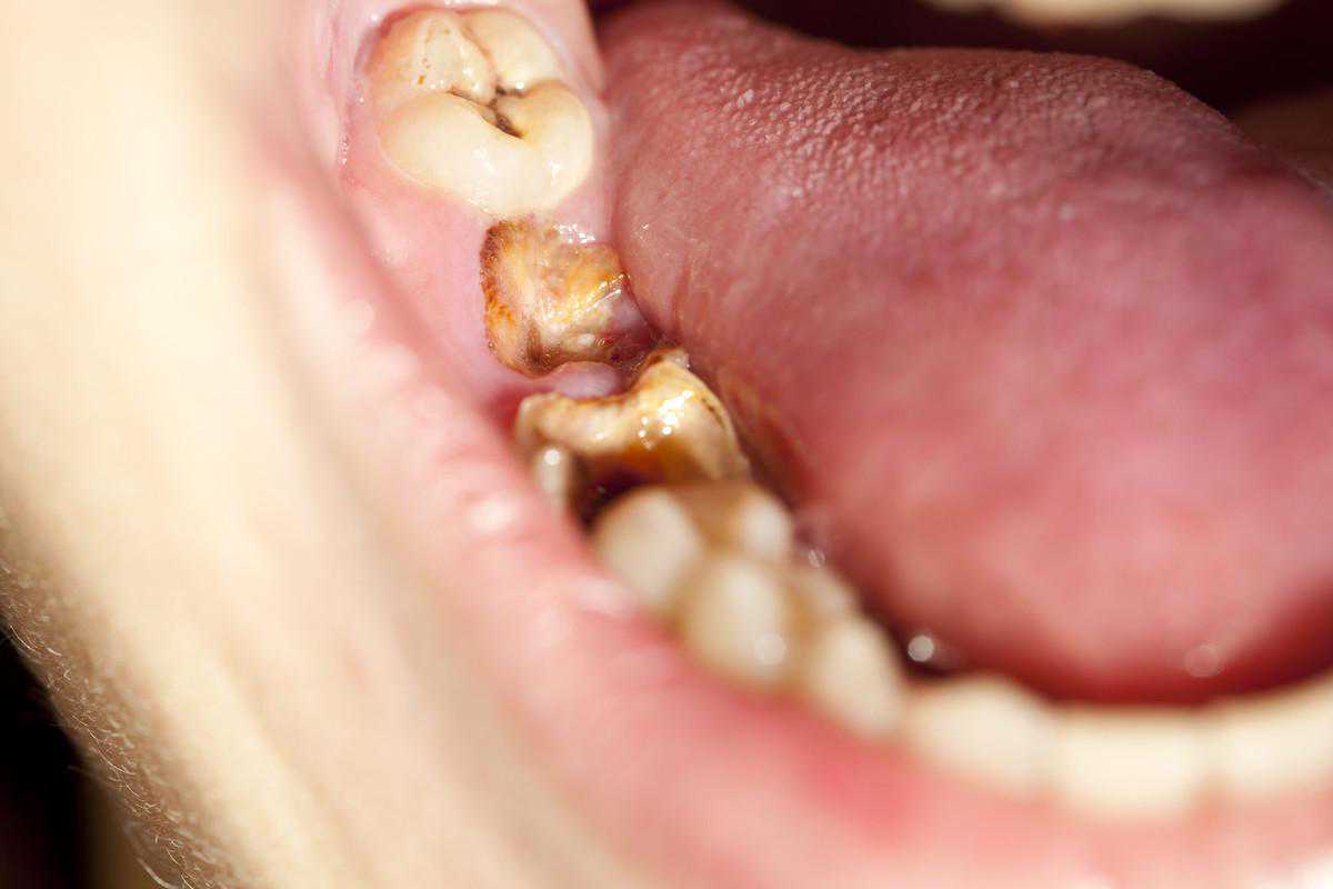
牙齿黑点修复
我们的牙齿由外层至内层分别是牙釉质、牙本质、牙髓,如果龋洞逐渐扩大而将牙髓部分暴露出来的话,就会给细菌制造可以侵入牙髓的可乘之机。
牙髓里主要分布着神经和血管,如果细菌侵入牙髓,就会导致牙髓炎等疾病出现,患者也会有较为明显的疼痛感,这时候单纯地补全龋洞已经不能满足患者的治疗需求了。
首先要清除掉牙髓内部被细菌感染的组织部分。那么此时就需要进行根管治疗了。


1,诊断患者状况,预备根管的阶段。
因为每个患者的牙髓感染程度不同,要清除掉牙髓内感染的部分,就需要医生进行准确的诊断,判断出患者的具体情况,从而准备好相应的手术器械以及手术所需要的材料。
2,开始进行手术,进行根管消毒的阶段。
如果患者的牙髓没有全部坏死,留有一部分活髓的话,这种牙体称为活髓牙,如果只有冠髓感染,只需要进行一次消毒;如果是有其他的牙髓发生感染了,就要进行根管部位的封药消毒。也就是说将牙髓内部感染的部分牙髓全部清除掉。
3,后期填充,进行牙髓腔的封闭阶段。
如果将患者髓腔中的感染部分清除掉了,就需要及时进行填充,而这个时机是需要在患者不再有痛觉,且髓腔内不再有异味,也没有牙质深处的状况下,及时进行药物封闭。需要注意的是,最好不要进行反复封药,这样的话对尖周会造成很大的刺激。

需要特别指出的是,如果患者进行手术后牙冠已经被龋洞覆盖,根据术后情况可能是需要佩戴牙冠的,这样是有助于髓腔内部的恢复以及患者行使正常的咀嚼功能的。
如果患者因为种种原因,没有及时进行根管治疗,其实会留下一个很大的隐患。需要进行根管治疗的患者一般都是情况比较严重的,如果放任不管的话,是很容易让细菌侵犯到更深的位置比如牙根周,这样的话,这颗牙齿可能就会面临松动、脱落的风险,也有可能感染邻牙,导致多颗牙齿病变、脱落。
所以说一旦患者发现自己的牙齿出现龋坏、疼痛的症状,一定要及时就医,尽早做根管治疗,以防出现更为严重的问题。做完根管治疗的患者也不要掉以轻心,也要做好后期的维护:

1,有必要的话做保护牙冠,避免进食太有刺激性的食物,尽量不要咀嚼硬物,保护好术后较为脆弱的患齿。
2,做好口腔清洁工作。早晚两次刷牙,勤漱口,定期洗牙,及时发现口腔疾病并进行治疗和防护。
3,按时复查。一次根管治疗并不意味着万事大吉,在治疗后及时复查,确保治疗后能够完全恢复患齿的健康。
如果患者的牙体问题到了做根管治疗的地步还是较为严重的,一定要及时就医,并尽早进行治疗,避免出现更为严重的口腔问题。





