根据统计,我国目前的烟民数量已经超过了3.5亿,年轻人抽烟的比例在逐年上升。
抽烟对人体的危害已经是一个老生常谈的问题,今天我们主要讲述的就是抽烟对牙齿和口腔环境的有害影响。常年抽烟的人,牙齿都会出现发黄有很重的牙斑,非常不美观。
事实上,烟给我们口腔带来的影响远远不止这些。
第一,香烟中含有很多焦油物质。它们会伴随着吸烟的整个过程充斥在我们的口腔之内,附着在口腔的各个角落。时间长了,牙釉质就会开始变黄。
第二,由烟草叶引燃产生的烟雾之中,包含了多种相互作用的化学物质,它们会对我们的整个口腔产生影响,体现在化学物质的附着使得整体口腔环境发生改变。例如,唾液的分泌显著减少,味蕾功能减退等。
第三,香烟是有一定温度的,这种温度我们可能不会觉得有明显感觉。但是对口腔细胞来说,这种温度有时候就会有损害作用。
第四,吸烟会加剧牙齿龋坏的情况,甚至使原本单一的龋坏问题发生病理变化,严重的可能导致口腔癌的发生。
第五,吸烟会引发口臭,对社交带来负面影响。

众所周知,香烟之中含有一些尼古丁。这种烟碱会在一定程度上缓慢的刺激我们人体,使我们的细胞再生速度开始降低,出现骨质疏松的情况。体现在口腔之中,我们的牙周组织因为总是处于缺氧环境,厌氧菌大量生存,导致炎症出现,恢复缓慢。随着年龄的增长,牙槽骨会因为尼古丁的影响开始出现吸收现象。

有分析认为,长时间吸烟的人群,牙周疾病的发病率明显高于不吸烟人群。尤其是在步入老年之后,吸烟人群会因为牙周以及牙槽骨问题过早的出现牙齿松动甚至脱落的症状。
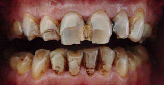
这里有一个情况要做特别说明。我们针对牙齿脱落会有一种治疗方案叫做种植牙。如果接受种植牙的患者是一个老烟民,每天抽烟的数量大于二十根的话,是极有可能发生牙齿种植失败的情况的。因为患者的牙槽骨可能已经吸收,不适合种牙。也可能种牙之后的恢复过程举步维艰,导致失败。(见上图)

长时间吸烟会使人们对香烟不论是在身理还是心理上都产生严重的依赖。
戒烟对很多人来说可谓是难上加难。但是吸烟给我们口腔带来的危害又是实实在在的。

首先,我要依旧不厌其烦地提出这一观点:戒烟。这是很难,但是并非不能成功。戒烟不仅可以改善口腔问题,甚至对全身各个器官都有这好处。此外,戒烟还能锻炼个人意志。
其次,如果牙周问题处在可控范之内,患者又不愿意戒烟的话,建议降低抽烟次数和频率。多喝水定期洗牙,清理口腔位置。
再次,经常抽烟的人更要注意口腔卫生,最好每半年洗牙一次,这样能够有效控制
最后,牙齿疾病的发现需要积极治疗,杜绝香烟给牙齿或口腔带来的影响和伤害。

人类吸烟的历史可以追溯到远古时代。自从医学上针对吸烟和健康关系有了详尽的病例分析之后,人们已经达成了一个共识:吸烟对人体的健康是非常有害的。
现在,社会上有很多种戒烟方式,从饮食到心理都有全套的指导方案。为了我们的牙齿健康,我强烈建议吸烟的朋友努力戒除烟瘾。






