今天,萌齿君就先来和大家吐槽下,“医生,你能不能分辨出孩子的乳牙和恒牙”这类问题!

乳牙VS恒牙,人类一生中的两幅牙齿
那些让牙医“不知所措”的乳、恒牙鉴别问题……众所周知,我们人类一生中有两幅牙齿——“乳牙”和“恒牙”。当儿童六周岁左右时,乳牙就依序开始脱落、替换成恒牙。由于受到“先天遗传因素”以及“后天环境因素”的影响,乳恒牙交替时,经常会出现各种各样,让家长困惑、烦心的事情。虽然这些事情对于专业的牙医而言,可能太过于习以为常、司空见惯,但是家长们常常会抱以怀疑的态度来与医生交流……(以下情景,各位家长可以看看,是否也似曾相识……)
【情景一】双排牙
家长:“医生,我们孩子换牙了!叠成双排了,怎么办?”
牙医:“嗯、长新牙齿了,把乳牙拔掉就行了!”
家长:“拔牙啊?那你能分出哪颗牙是恒牙、哪颗牙是乳牙吗?不能拔错了呀!”
牙医:“……”

最常见的乳牙滞留“双排牙”病例
【情景二】多生牙
家长:“医生,我们孩子上门牙又长新牙了,你看看是不是乳牙没掉干净呀?”
医生:“哦!这是个多生牙,既不是乳牙,也不是恒牙,属于畸形牙。”
家长:“畸形牙,医生你帮忙再看看,你怎么看出这个不是恒牙、也不是乳牙的呢?”
医生:“……”

多生牙病例,萌出的上门牙背面又长出来新牙齿
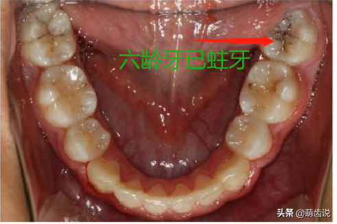
【情景三】恒牙(六龄牙)龋坏
家长:“医生,我们孩子最里面的大牙蛀了,你看看还要多久换牙?”
医生:“这是恒牙!再也不换了,现在已经蛀了,要赶紧治疗了……”
话没说完,家长就激动了:“怎么可能!这颗牙都没换过,怎么会是恒牙?医生,你能分辨乳牙和恒牙吗?”
医生:“……”

乳恒牙交替时期,极其容易被忽视的六龄牙!
其实,在临床接诊过程中,这类情景是非常多的。一方面可能和家长的口腔知识普及程度有关;另一方面,孩子是每个家庭的宝贝,谨慎细心是每个家长应有的责任!虽然,这些问题,往往会让医生不知所措,但是该解释的问题还是要解释、该治疗的牙齿还是要尽快治疗。所以,懵完之后,儿童牙医们会有哪些神回复呢?
那些医生们的神回复……1.权威派
萌齿君十多年前,尚处于实习阶段。那时跟着儿童口腔科某主任医生接诊。看诊的孩子恰好6周岁,临床表现为常见的乳牙滞留,孩子家长比较着急,反复询问着“拔牙拔哪颗?会不会拔错?……”等,诸如此类问题。
主任医生,耐心听了会,回了一句“我是专家,你要听我的,我说拔这颗乳牙,就是拔这颗乳牙……”
当时,真是把我震惊极了!颇有黄晓明那句“不要你觉得,要我觉得……”的霸气之势!

权威派“不要你觉得,要我觉得!”
2.怼派
有的医生在受到家长反复问询后,可能内心会泛起波澜,随之爆出哭笑不得的“怼派”回答……
“医生你怎么看出来这是乳牙?还是恒牙?”
“我掐指算出来的……”
“我猜的……”
“我助手都看出来了,我看不出来?……”
3.佛系
其实,儿童牙医对这类问题,已经习以为常、司空见惯了!如果,有时候真遇上内心纠结、沟通不顺畅的家长,那么,儿童牙医也可能会给出这些佛系回答——
“要不,我们让其他医生一起会诊下?……”
“要不,家长你再去XXX三甲医院再看下?……”
“要不,家长我们去挂个专家门诊看下?……”
佛系回答下,医生的心境
4.稳妥派
但是,大多数情况下,智慧的儿童牙医们还是会用非常稳妥的办法,来消除家长的质疑!
首先,耐心解释乳牙、恒牙的区别(真的!解释、科普这是每位医生日常工作中,最占时间的一项任务!);
然后,类比其他相似的临床图片,寻找共性和差别;
最后,拍牙片或全景片,来进一步验证!有效的辅助检查,其实是最能直观地获得答案的方式。在口腔科,牙片、全景片、牙CT,就是最常用、最可靠的辅助检查方式!
全景片直观地辨别乳牙还是恒牙
那么,乳牙和恒牙很难鉴别吗?乳牙和恒牙的鉴别很难吗?对于专业的口腔医生而言,并不是很难,而且辨别的准确率也很高!
因为,口腔医学生从大二起,就开始用铅笔画不同种类的牙齿、用红蜡雕刻牙齿的各种结构!“哪颗牙面积最大、哪颗牙形态最方、前牙有多少沟壑、后牙有几处点隙”,都经过了反复对比和琢磨。所以,不夸张的说,和牙医谈“牙齿的构造”,这就像报家庭地址那么简单!
雕刻牙齿的红蜡,被心灵手巧的萌齿君做成各种小动物……
因为,乳牙和恒牙的鉴别诊断,是儿童口腔科理论考试、实践操作考试、入科考试、出科考试、国家执业医师考试、规范化医生考核等~等~等考试项目中、最~最~最~最容易入镜的题目!所谓“熟读唐诗三百首,不会写来也会吟”,反复的知识点循环,已经让我们记忆犹新!
因为,长期的临床积累和实践经验,让我们练就了一身上乘武功!这个问题,就像李佳琦直播卖口红,哪种口红什么色系、什么品牌、什么效果,一目了然,信手拈来!MM们还会在公屏质疑李佳琦如何辨别口红吗?不会!我想赞叹“李佳琦好厉害”还来不及呢!为什么?因为“实践出真知”,大量的经验积累下,你就能获得鉴别的宝贵技能!
所以,当家长反复质疑医生如何确定乳牙和恒牙的时候,我想绝大多数情况下,医生都会有极其不爽的内心独白。但无论如何,作为医生都应该明白家长爱护孩子的那种关切心情,运用“稳妥派”的做法,能更加处理好医患双方的问题。同时,家长也应该信任和支持看诊医生,专业的事情让专业的人员来处理;或者从小培养孩子定期看牙检查的习惯、固定一位可靠的儿牙医生,这样,也更加能增加医患之间的信任!
那么,乳、恒牙鉴别有什么小妙招吗?如果,家长希望在家里,分辨孩子的乳牙和恒牙,有什么方法吗?萌齿君觉得,可以简单从以下几个方面来鉴别:
1.年龄
乳牙脱落时间表
2.颜色
乳牙的颜色呈乳白色,而恒牙的颜色会偏黄,这是由牙齿的矿化结构有关。有时候在乳、恒牙交替期,家长会抱怨新长出的牙齿黄,其实正好有乳、恒牙同时存在,做对比,才会显得恒牙偏黄的特点更加明显!
3.大小形态
乳牙相对较小、牙冠短而宽,就如同小宝贝那般可爱;而恒牙相对会比较大,牙冠长且更加宽,就如同发育长大的孩子,成熟壮实!
4.位置
最后,萌齿君要强调下恒牙“位置”这个概念!尤其是六龄牙,很多家长会误把它们当成乳牙,减少了预防和维护的概念!我们也可以从@萌齿说的上篇图文“儿童六龄牙非常重要!宝妈们学习下——这个方法可以有效保护她!”,来学习下六龄齿的保护!所以,重要的事情说三遍——
“乳牙列最后位置自行萌出的牙齿是恒牙,很重要!”
“乳牙列最后位置自行萌出的牙齿是恒牙,很重要!”
“乳牙列最后位置自行萌出的牙齿是恒牙,很重要!”
六龄牙萌出中
结语:临床工作中,儿童牙医会碰到许多的问题和挑战,但我觉得在家长的信任、孩子的配合以及自身和团队的努力之下,我们都能迎刃而解!虽然标题为《儿童牙医来吐槽》,但其实,更希望通过这种形式,让家长了解我们的工作,更好地为我们的孩子服务!
同时,本篇还简单介绍了乳恒牙的鉴别,当然,如果家长要想获得准确的信息,那么还是应该让专业的儿童牙医来帮忙!希望我们共同努力,一起帮助孩子拥有一口漂亮、整齐的大白牙!





