


氟对人体有哪些作用?

少量的氟有利于预防龋齿,但在自然条件下,人们长期生活在高氟环境中,摄入过量的氟,会导致全身慢性蓄积性中毒,即地方性氟中毒,是一种在特定的地理环境中发生的地球化学性疾病。临床上主要表现为牙齿和骨骼的改变,牙齿损伤的表现称氟斑牙,骨骼损伤的主要临床表现称氟骨症。
地方性氟中毒主要分布在哪里?

地方性氟中毒在我国大陆分布广泛,除上海市、海南省外的各省、直辖市、自治区均有病区。病区分3种类型,即饮水型、燃煤污染型和饮茶型。我们广西也有不少地方存在病区,主要分布在桂东南、桂北及沿海地区等地区。
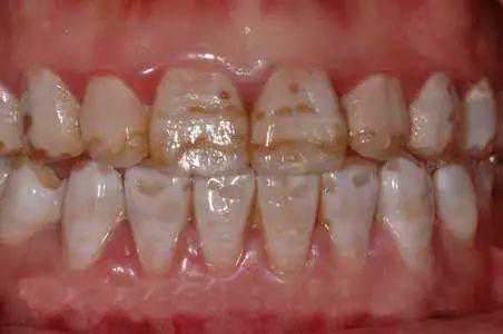
什么是氟斑牙呢?

氟斑牙是指牙齿发育、矿化期间,机体摄入过量的氟引起牙釉质钙化不良损害,主要表现为牙釉质失去正常的光泽和透明度,出现不同程度的白垩样变、着色和凹陷缺损等病变,一旦形成残留终生,轻则影响美容,重则由于严重缺损或过早脱落,影响咀嚼消化功能危害健康。氟斑牙是地方性氟中毒最重要的表现。
氟斑牙▼



什么是氟骨症?
氟骨症是指地方性氟中毒病区的居民,因摄入过量氟化物而引起的以颈、腰和四肢大关节疼痛,肢体运动功能障碍以及骨和关节X线征象异常为主要表现的慢性代谢性骨病。主要表现为腰腿及全身关节麻木、疼痛、骨关节变形,出现弯腰驼背,发生功能障碍,乃至瘫痪,丧失劳动能力或生活不能自理。
大家现在最关心的问题来了
↓↓↓
氟斑牙、氟骨症可根治吗?
氟斑牙一旦形成将伴随终身,不可逆转,影响健康、美观,给患者造成心理负担。目前的治疗方法虽有一定的疗效,但尚无专门用于治疗的特效药,其治疗仍是艰巨的任务,虽然可以通过牙齿美容改善氟斑牙外观,但治标不治本。
氟骨症目前尚无理想的治疗方法及治疗药物。
因此,最重要的还是预防氟中毒的发生。远离高氟环境,是预防氟中毒发生的根本措施。
如何预防地方性氟中毒?
饮水型地方性氟中毒的主要预防措施是改换低氟水源,如打低氟井、引江河湖泊等低氟水源,干旱缺水地区可窖水或屋檐集水。
燃煤污染型地方性氟中毒的主要预防措施是改良炉灶,将燃煤产生的煤烟排到室外。此外,不要将粮食和食物悬挂在炉灶上方熏烤,采取自然晾晒或利用烤烟房烘干。病区经熏烤的玉米和辣椒含氟量很高,在食用前要进行淘洗,以减少机体对氟的摄入。
下面,各位家长们最关心的问题来了
↓↓↓
儿童是否可以使用含氟牙膏?
儿童并不建议使用含氟牙膏,因为氟化物可能影响儿童正常生长发育。高浓度的氟对人体危害很大,目前国内很多含氟牙膏氟超标,因此须谨慎使用。由于儿童使用牙刷还不熟练,有可能误食含氟牙膏,危害身体健康。因此,建议儿童不使用含氟牙膏,特别是地方性氟中毒病区儿童,应该避免使用含氟牙膏。
各位宝爸宝妈都注意啦!
要谨慎给儿童使用含氟牙膏哦~
让我们一起行动起来,
远离高氟环境,预防氟中毒的发生!
共同拥有一口美丽健康的牙齿!





