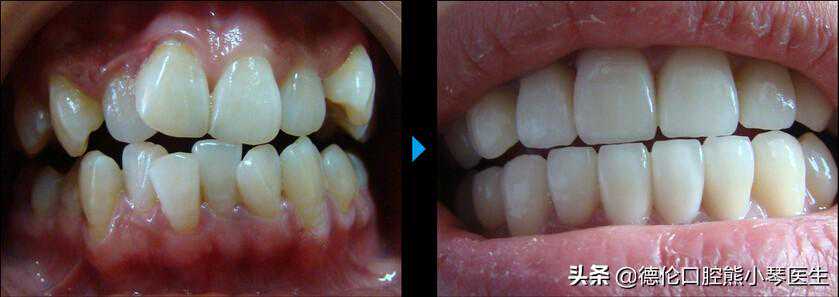
牙列拥挤详细介绍。牙齿拥挤表现为牙齿拥挤、错位、排列不齐,十分影响外观,严重者可造成口唇闭合困难,形成开唇露齿。牙齿拥挤口内表现为牙齿的大小正常或过宽,牙呈各种方向错位,个别牙反合、开合、超合及深覆盖等症状。

牙齿拥挤根据其严重程度分为三度。
1、轻度拥挤(I度拥挤)牙弓中存在2-4mm的拥挤。
2、中度拥挤(II度拥挤)牙弓拥挤在4-8mm之间。
3、重度拥挤(III度拥挤)牙弓拥挤超过8mm。
广州德伦口腔专家详解:
1、牙齿拥挤影响上下颌牙齿之间的咬合关系,进而影响正常的咀嚼功能,降低咀嚼效率,久而久之可能因此而引起消化不良和胃肠功能的紊乱。
2、牙齿拥挤导致口腔存在诸多卫生死角,这很容易导致口腔疾病的发生,诸如龋齿、牙周炎等口腔疾病都是牙齿拥挤患者常见口腔疾病。
德伦口腔专家介绍牙列拥挤手术方法:纯欧仿生美容修复7天打造明星贝齿
广州德伦口腔作为尖端的口腔诊疗机构,凭借实力雄厚的技术设备,精益求精的技术支持,“卧虎藏龙”的正规医生团队,不断追寻安全、最完美材料的精神,以及全方位、主动式的全新服务理念,在华南各大知名口腔诊疗机构中脱颖而出,成为引进纯欧仿生美容修复技术的正规口腔医院,采用尖端的精品烤瓷牙材料,让每位爱美的牙齿不齐患者,7天快速拥有皓齿,齿若编贝,暂放最美微笑。
独特技术优势:
1、不损伤原牙
美牙冠根据牙槽骨的形态对牙齿做修整,仅对不整齐的凸出部位进行精细打磨,无需拨牙,不损伤牙齿、牙龈。
2、高度仿生与仿真
在牙齿的形态、色泽、功能、结构、相容性等各个方面完全比照真牙研究而成,在结构上与真牙的牙釉质、牙本质完全相同。
3、坚固耐磨,终生美齿
采用仿生瓷、纳米瓷、与生物瓷融合而成,具有高机械强度、高硬度、高耐磨性、高耐腐蚀性等优点,与原牙紧密贴合,坚固耐磨,如能按医嘱进行保养,可相伴终生。
4、无不良反应
由于采用仿生材质不会出现牙龈红肿、黑线等不良现象。
广州德伦口腔专家温馨提示:如果您还有其他牙齿口腔的问题,还可以免费在线咨询。百度N次,不如咨询1次。





