提起牙齿缺损问题,大多数人都会选择去医院做牙齿修复,然而面对各种各样的修复手段,很多人都纠结了,一时之间不知道该做何种抉择。

烤瓷牙的出现可谓是促进了牙齿修复技术的发展进程,它完全改善了之前传统假牙所带来的不便,既美观又很舒适,而根据材料的不同,烤瓷牙也分为很多种。包括全瓷牙,然而,全瓷牙是近几年才兴起的一种牙体修复的镶牙方法,很多人都认为全瓷烤瓷牙就是烤瓷牙,其实不然,二者虽然有所相似之处,但还是有所差别的。

即烤瓷熔附金属全冠,简单来说,就是医生在做牙体修复时,利用特殊材料做一个与原来的真牙完全相同的瓷牙,然后通过手术,安装在牙齿缺损的位置。
而全瓷牙和烤瓷牙类似,但不同的是,全瓷牙在牙根上做一个内冠,并且选用的材料是一种特别的高科技材料,制造时需要特殊的机器制造。在安装时,是由一层全瓷的透明支撑骨架,牙冠采用一层与真牙色泽相似的瓷粉制成,最后粘贴在牙齿上。全瓷牙一般用在前牙单冠、嵌体、高嵌体等修复。而烤瓷牙多用于后牙修复。也由于烤瓷牙与全瓷牙的材料和安装方法的不同,也决定了它们价格有所不同。

做过牙体修复的人都曾有过这样的苦恼,安装烤瓷牙与全瓷牙明明都是牙体的修复手段为什么价钱差的那么多呢?
其实贵有贵的道理,除了制造烤瓷牙与全瓷牙的材料与安装方法的不同,还因为这两种牙体修复手段会带给患者不同的"使用体验"。

烤瓷牙与全瓷牙的材质有所不同,由于全瓷牙是由一种新兴的材质制造而成,它的硬度比牙釉质硬一些,但与烤瓷牙相比,要软一些,而且非常有韧性。
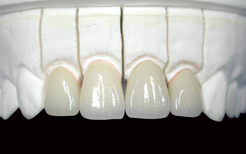
2.外形:全瓷牙如同真牙从颜色上看,全瓷牙的材质更加媲美自然牙,淡淡的白色,而且可以使用很久,而烤瓷牙由于材质中含有金属物质,会影响修复体的色泽和折光性,往往看上去有些虚假的苍白色,而且用久了会在口腔中发生氧化会变色,并且还会从牙龈处出现黑线的尴尬现象,非常不美观。

烤瓷牙内涵金属材质,并不适合所有的患者,有些患者佩戴后会产生过敏现象,并且烤瓷牙的金属基底冠,在口腔中遇到酸碱物质会腐蚀,而全瓷牙由于是全瓷的,所以不会有过敏现象,并且生物相容性比较好,不会发生前者的腐蚀现象,更能保护牙龈的健康。
4.内外冠相结合上来讲,全瓷牙更加贴合金属烤瓷牙是由金属基底冠加瓷的形式,经常会出现两者剥离的现象,而全瓷牙完全克服了这一个现象,由于全瓷牙的内冠与外冠都是相同的材质,没有金属的干扰,所以不会出现这种剥离的现象,安装之后,更加贴合。

烤瓷牙构成
通过以上的比较,各位准备做牙体修复的人是否有了心中所选,其实全瓷牙虽然价钱较贵,但是,其优势要比烤瓷牙多很多。
但由于每个人牙齿的具体情况不同,对于要选择哪一种来做牙体修复,还是要听从医生的建议再做选择。

1.注重口腔清洁是关键。口腔的清洁问题是牙齿保障牙齿健康问题的关键,在安装完烤瓷牙或者全瓷牙之后,更要注重口腔的卫生,牙齿之间的缝隙都要刷干净,防止发生牙周炎,也为了防止口腔清洁没到位而产生的酸性物质与烤瓷牙发生腐蚀现象,减少烤瓷牙的使用年限。
2.刷牙不要太用力,烤瓷牙毕竟还是与自然牙相同的,它的受力程度非常有限,过度暴力刷牙,会对其造成损伤。
3.初戴时,应该避免吃太硬的食物,吃相对软的食物,等到适应一段时间再吃,记得遇到硬的食物,尽量用其他的牙齿咀嚼。防止崩瓷现象。

当牙齿出现问题需要修复时,记得不要犹豫,任何牙齿问题,都是至关重要的问题,及时修补,才能更健康,而关于选择烤瓷牙还是全瓷牙,无关价钱,选择最适合自己的才是最重要的。





