很多人在做牙齿矫正功课的时候,一定有过这样的经历:看到「牙性龅牙」「骨性龅牙」这样的概念时,便慌忙对号入座自己属于哪种,最后自己就把自己判断成骨性,认为自己的嘴凸没救了,只能手术,便又开始查正颌手术的危险性和案例……说吧,这是不是你~
话说,这跟生病了不去看医生、反而去百度,最后觉得自己得了绝症自己吓自己有啥区别?

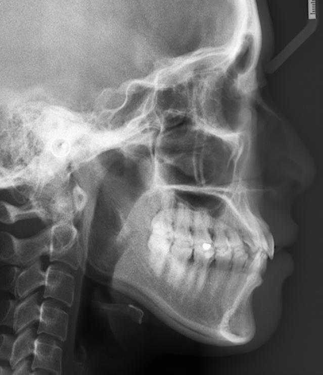
首先,我们需要明确的是,判断自己的龅牙属于牙性还是骨性,一定是需要结合头影侧位片来测量分析的,因为X光片更能直观反应出你的牙齿状况,单凭照片和网上的几招自测是无法确诊的。(这也是笑盈会让大家去我们的线下合作诊所拍口腔资料的原因)

虽然牙性和骨性的确诊无法离开专业的参与,但是它们之间的区别还是可以了解一下的,自己心里也会有点谱。
首先我们知道,深覆合分为牙性和骨性两类。
牙性(dentaltype)由牙或牙槽垂直向发育异常引起,也就是仅有牙齿向前突,牙齿长轴角度倾斜过大,但是上下颌骨的形态、大小及在矢状方向上的相互关系基本正常,面部畸形不明显,你的上唇和鼻子周围是不鼓的。

这类嘴凸患者非常适合正畸,通过拔牙+打钉的方式,往往整个牙就能获得翻天覆地的变化。
矫正前vs矫正后

骨性(skeletaltype)
骨性前突是上颌骨发育的过度,不仅有上下前牙内倾、前牙及前牙区牙槽发育过度、后牙及后牙槽高度发育不足的牙及牙槽问题,同时伴有上下颌骨间位置的失调,也就是你的牙齿颌上颌骨以及鼻子周围都是向前鼓的,嘴唇包不住牙齿,因此露出的牙齿过多。
与此同时,上颌骨垂直向发育过度的标志就是「微笑露龈」,如果有很明显的露龈笑,那是骨性牙突的可能性就更大了。

轻度骨性深覆合患者可采用正畸治疗,在上下颌种植微种植体支抗以压低上下前牙,打开咬合。
重度骨性患者的矫正难度较大,必要时需要采用正颌手术治疗。如果确实有比较严重的骨性问题,又不愿意手术,那么方案中就要用牙齿来代偿,最终效果就是牙齿可能会更内扣一些(大家脑补一下大幂幂的牙),来达到改善嘴凸的目的。

但实际上,很少人是完全的牙性或者骨性,大部分患者是既有牙性,也有骨性。牙性程度越大,纯靠矫正的效果就越显著,骨性程度越大,就越倾向于通过手术来进行改善。
所以,这时候就需要专业人士的参与来进行判断了。
下图看不懂吧?看不懂就对了。。






