前牙(anteriortooth)的制备

后牙(posteriortooth)的制备

多颗牙体制备需要符合平行就位道(parallelinsertionpath)的原则

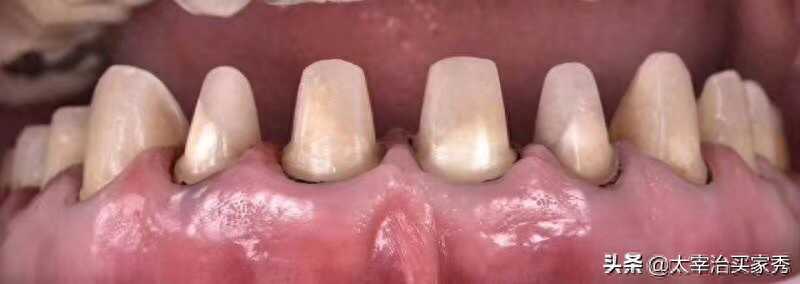
实际制备后的牙体我们成为基牙(toothabutment)

牙体制备的牙颈出的边际成为边缘(margin)。通常制备的边缘有三种样式:斜面边缘(chamfer),刀状边缘(knifemargin),肩台式边缘(shouldermargin)

制备时使用装上专门的车针手持式微型电机,通常简称手机,注意与大家平时用的智能手机区分

对于后牙的制备,存在一个牙沟dentalgroove,这个是由于后牙咬合面会有牙花沟,也叫发育沟,通常有一定的类似地图上的山谷那种形状,英文称为groovefissure

牙制备前的样子和制备后的样子对比

制备好牙体后,传统的方式就是取硅胶印,这是最常见的复制口腔牙体周围状况的方式。时下,以3D扫描技术的发展,口扫仪已经开始在大型口腔诊所使用。相信科技能最终方便人类的生活






